మిలమల మెలిసే దంతాలు పొందాలనుకుంటున్నారా?.. అయితే ఈ ఇంటి టిప్స్ ఫాలో అవ్వండి..!

lakhmi saranya
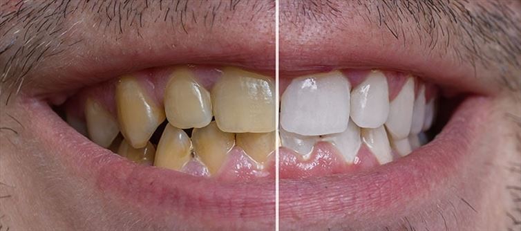
దంతాలపై పసుపు మరకలు చాలామందిని ఇబ్బంది పెట్టే సమస్య. కాఫీ, టి, సోడా వంటి పానీయాలు, సరైన దంత రక్షణ లేకపోవడం, ధూమపానం వంటి కారణాలు దీనికి కారణం. పసుపు మరకలను వదిలించడానికి బేకింగ్ సోడా, హైడ్రోజన్ పెరాక్సైడ్, ఆపిల్ సైడర్ వెనిగర్ వంటి సహజ చికిత్సలు ఉపయోగించవచ్చ. తీవ్రమైన సమస్యల కోసం దంత వైద్యుణ్ని సంప్రదించండి. దంతాలపై పసుపు మరకల సమస్య చాలామందిని వేధిస్తున్న సాధారణ సమస్య. ఇవి మన చిరునవ్వు అందాన్ని తగ్గించడమే కాక ... ఆత్మవిశ్వాసాన్ని కూడా ప్రభావితం చేస్తాయి. ఈ పసుపు మరకలు చాలా రకాల కారణాలతో వస్తాయి. అవి తంతా రక్షణ లోపం, ఆహారపు అలవాట్లు, వయస్సు, ధూమపానం, కొన్ని మందులు లేదా వైద్య పరిస్థితిల వల్ల కూడా రావచ్చు.

అయితే ఈ సమస్యను కొన్ని సులభమైన మార్గాల ద్వారా పరిష్కరించవచ్చు. అవేంటో ఇప్పుడు చూద్దాం. రోజు బ్రష్ చేయకపోవడం వల్ల పసుపు మరకలు వస్తాయి. అలాగే కాఫీ, టీ, సోడా, రెడ్ వైన్ వంటివి దంతాలకు మరకలను కలిగిస్తాయి. ధూమపానం, పొగాకు అలవాటు దంతాలను పసుపు లేదా గోధుమ రంగులోకి మార్చుతాయి. వయసు పెరిగే కొద్దీ దంతాల ఎనామిల్ తగ్గిపోతుంది. దీనివల్ల దంతాలు పసుపు రంగులోకి మారతాయి. కొన్ని రకాల మందులు కూడా దంతాల రంగును ప్రభావితం చేస్తాయి. రెండుసార్లు 2 నిమిషాల పాటు బ్రష్ చేయండి. ఫ్లోరైడ్ టూత్ పేస్ట్ వాడడం. నాలుకను శుభ్రం చెయ్యడం. కాఫీ, టి, సోడా, రెడ్ వైన్ వంటివి చాలా వరకు తగ్గించడం మంచిది.

 చక్కెర, ఆమ్లపు పదార్థాలను తీసుకోవద్దు. పండ్లు, కూరగాయలను ఎక్కువగా తినటం ఆరోగ్యానికి మంచిది. నీరు ఎక్కువగా తాగటం అలవాటు చేసుకోండి. ఇది నీటిలో కలిపి ఉక్కలించి ఉపయోగించవచ్చు. ఇది దంతాలపై ఉన్న మరకలను తొలగించడంలో సహాయపడుతుంది. పసుపును నీటిలో కలిపి బ్రష్ చేయటం ద్వారా పరిపూర్ మరకలను తొలగించవచ్చు. ఆపిల్, క్యారెట్, సెలెరీ, కూరగాయలు దంతాలను సహజంగా శుభ్రం చేస్తాయి. దంత వైద్యుణ్ని క్రమం తప్పకుండా సంప్రదించటం చాలా మంచిది. దంత వైద్యుడు దంతాలపై ఉన్న గారను, పరకలను సమర్ధవంతంగా తొలగించగలడు. ఇది మీ దంతాలను ఆరోగ్యంగా, తెల్లగా ఉంచడంలో సహాయపడుతుంది. ఈ పద్ధతులును పాటించడం ద్వారా దంతాలపై పసుపు మరకలను వదిలించుకోవచ్చు.

మరింత సమాచారం తెలుసుకోండి:

సంబంధిత వార్తలు: